» أخبار
صادق ربيع فقد نسبة من سمعه ويتبول دماً وشظايا « الشوزن » تهدد حياته
2012-09-25 - 8:14 ص
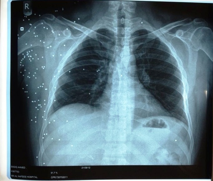
مرآة البحرين: أكدت «شبكة 14 فبراير الإعلامية» أن العضو البلدي الوفاقي السابق صادق ربيع، الذي أصيب برصاص «الشوزن» خلال قمع مسيرة سلمية في سترة منذ أسبوعين، فقد نسبة من سمعة من جراء الإصابة وما زالت شظايا "الشوزن" في جسده.
ونقلت الشبكة عن ربيع الموجود في مستشفى السلمانية قوله إنه أصبح يتبول دماً بعدما أدخل له أنبوب أثناء الاغماء تسبب له لجروح في المسالك البولية، مضيفا أنه بسبب تأخير العلاج فقد نسبة من سمعه وما زالت هناك شظيتان في رئته واربعةً أخرى في الكبد، والعشرات من الشظايا في جسده تهدد حياته.
اقرأ أيضا
- 2026-05-12طهران تهاجم الإجراءات الأمنية في المنامة وتصف "إسقاط الجنسية" بعقوبة القرون الوسطى
- 2026-04-27حقوقيون يثيرون مخاوف من اعتبار موضوع "الجنسية" من أعمال السيادة وإبعادها عن رقابة القضاء: ستفتح الباب للتعسف في الانتقام السياسي
- 2026-04-2316 دولة عربية وإسلامية تدين تحرك إسرائيل في “أرض الصومال” والبحرين خارج الإجماع
- 2026-04-21السفيرة الأمريكية ترمّم صورة قوات بلادها التي تلقت ضربات قاسية خلال الحرب: نحن هنا وكنا وسنبقى في البحرين
- 2026-04-18سجال حاد بين البحرين وإيران داخل البرلمان الدولي في إسطنبول